インプラントと総称される、歯を失った部位の顎骨に埋め込まれる人工歯根は、骨結合を得やすいチタン製歯根形状のタイプについては、適応症を選び、適切な施術と良好な管理がおこなわれれば95%以上の経年的な成功をおさめると報告されています。日本の実情がこれにすべて当てはまるわけではありませんが、すべての再建修復治療の厳密な成功率とくらべても、成功を期待できる治療の選択肢として前向きに捉えられるようになってまいりました。
当院では欠損部位以外の歯周病等の問題が解消されたうえで、十分な診断のもと、修復方法のオプションとして再建治療に組み込むケースがございます。当院はよく噛める精密義歯にも取り組んでいますこともあり、取り外しの義歯がすべてに劣るとは考えておりませんし、欠損修復において必ずしもインプラント治療が他の修復法に優先されるものではありません。
最近では外科的処置や大切な保存治療の経験値の少ない駆け出しの歯科医までが、インプラント治療に走る傾向にわたくしどもは疑問を感じることもございます。しかしながらインプラントは特定のケース(健全歯を削らず欠損部位のみを修復したり、修復範囲を大がかりに連結しない治療等)においては、修復治療におけるパフォーマンスとして他の方法では得られない顕著な働きをすることがあります。 また歯を失い入れ歯になることが心理的に負担となっています方には、機能的問題以上にインプラントは大きな福音となることもあるようです。
なお費用の問題も含め管理の難しいインプラント修復は患者さんの積極的な健康観があって初めて長期的な効果が期待できると考えます。
当院では必要に応じて放射線科のオープンシステムがあります施設に、顎骨の断層レントゲン写真撮影を依頼させてもらうこともございます。また修復段階におきましてはラボの優秀さも含め世界的にも誇れる精度( passive fit という適合性に迫るもの)を達成できるものと自負しております。
なお、骨造成処置が必要な場合におきましては、患者さんのご理解のもと自家骨採取により対応させていただき、他家骨や異種動物骨を原料にした骨補填材は使用しておりません。
インプラント治療の簡単な術式 |
例) 3 本分の奥歯の欠損 |
|
|
|
|
|
|
??![]() |
|
インプラント体の頭部に固定性の修復物が装着され、咀嚼機能が回復された状態 |
インプラント植立方向の制限とその修正 |
| インプラントは天然歯と違い動きがまったくありませんため多数歯欠損で修復部を連結する場合には、植立方向の違いをインプラントフィクスチャーと修復物の中間連結部であるアバットメントや、内冠と呼ばれる筒状の金属体で修正をはからねばならないときがあります。 下図のように歯周病で歯根の先まで顎骨の吸収が顕著な症例では、下顎管(三叉神経の下顎枝や動脈のはいる管)に 2mm 以上の距離を設け、しかも可能な限り長い(それでも短めになります)フィクスチャーを植立するためには、やむをえず顎骨との接着面積をもっとも得られる方向を利用いたします。 上顎骨の条件の悪い場合は、オステオトームに拠る上顎洞底の挙上 ( 現在頻繁に利用中 ) や、サイナスリフトといわれる方法もありますが、多くは上顎結節や断層写真の情報で得られる骨量の厚い部位への植立となり、フィクスチャーは平行に植立するのが困難となります。 |
|
下顎管に 2mm 以上の距離を設け、骨の存在する部位へ可能な限り長いフィクスチャーを植立。 |
|
|
フィクスチャーの植立方向の違い。アバットメントで方向の修正。![]() ![]() |
|
|
精密に口腔内の位置関係を再現された模型上で、任意の角度つきのアバットメントを各々に選択し、修復物の着脱方向の修正を図る。![]() ![]() ![]() |
|
|
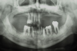
![]() 装着状態( *X 線写真の筋状の透過像は現像器によるもの) |
| 全体像;上顎も骨吸収に合わせた植立(修復材料は金白金系合金+ハイブリッドレジン) | |
治療開始時![]() |
治療終了2年後(上記部位の周辺骨の緻密化)![]() |
なお当院におきましては最近では殆どの症例で右図のように、カスタムメイドの貴金属の精密な内冠を製作利用するようになっております。将来の付加治療があった場合の単純化と仮着材の維持力を向上させるためです。 上記のようなアングルアバットメントは修復物のスクリュー固定では大変な精度が必要なことと、セメント仮着では周囲面積が少ないため、修復物が脱離しやすい傾向があるからです。 必要経費は3倍増しておりますが、患者さん負担を軽減するため、現在のところ従来法と同じ費用設定をしております。下は参考例 |



例) 3 本分の奥歯の欠損
歯肉を開き顎骨にインプラント植立のための掘削を加える
インプラントの植立後歯肉を戻し必要な治癒期間を待つ
??










装着状態( *X 線写真の筋状の透過像は現像器によるもの)

なお当院におきましては最近では殆どの症例で右図のように、カスタムメイドの貴金属の精密な内冠を製作利用するようになっております。